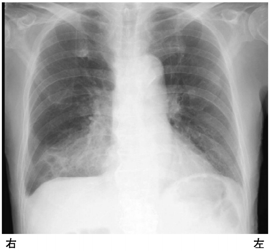
トップ 医療・介護・福祉に関する資格 理学療法士 平成29年度 第52回 過去問(2017年度) 問0 全部で189問 挑戦中 午前 問題 嚥下障害がある患者の胸部エックス線写真を別に示す。 予想される理学所見はどれか。 (1) 胸痛 乾性咳嗽 頸静脈怒張 右胸部打診で鼓音 右胸部聴診で水疱音 次の問題へ