全部で194問 挑戦中
午前
問題
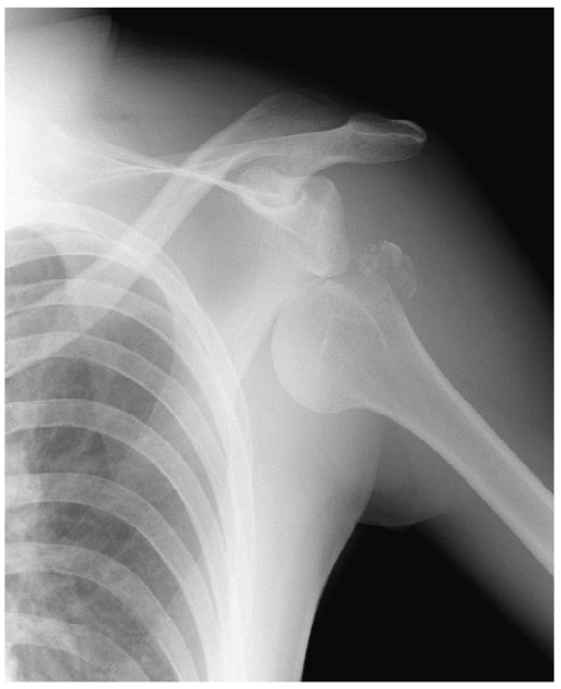
30歳の男性。スキーで転倒して受傷した。エックス線写真を別に示す。肩脱臼整復後に肩関節内転・内旋位で固定されたが、上腕の外側上部に感覚鈍麻を訴えた。
合併症の神経麻痺はどれか。
-
(1)
全部で194問 挑戦中
午前
問題
30歳の男性。スキーで転倒して受傷した。エックス線写真を別に示す。肩脱臼整復後に肩関節内転・内旋位で固定されたが、上腕の外側上部に感覚鈍麻を訴えた。
合併症の神経麻痺はどれか。
(1)