全部で181問 挑戦中
午前
-
エックス線写真
18%
※数字(%)は出題頻度
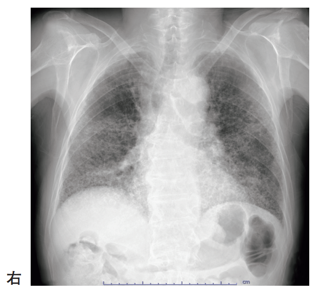
73歳の女性。胸部単純エックス線写真を別に示す。
考えられる疾患または状態はどれか。
-
(1)
出題頻度について
- ・出題頻度は出題数÷公開中のテスト数となっています。
- ・出題頻度が50%なら、テストで2回に1回は出題されることになります。
- ・出題頻度が100を超える場合は、テストで1回以上必ず出題されることになります。
