全部で185問 挑戦中
午前
- 
								
骨癒合
9%
 
※数字(%)は出題頻度
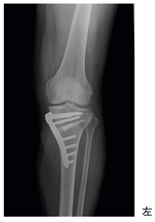
					60歳の男性。内側型の変形性膝関節症に対して手術療法が行われた。術後のエックス線写真を別に示す。
				
				骨癒合を促進させるために最も優先度が高い治療法はどれか。
						
					
- 
								
(1)
 
出題頻度について
- ・出題頻度は出題数÷公開中のテスト数となっています。
 - ・出題頻度が50%なら、テストで2回に1回は出題されることになります。
 - ・出題頻度が100を超える場合は、テストで1回以上必ず出題されることになります。
 
