全部で197問 挑戦中
午前
-
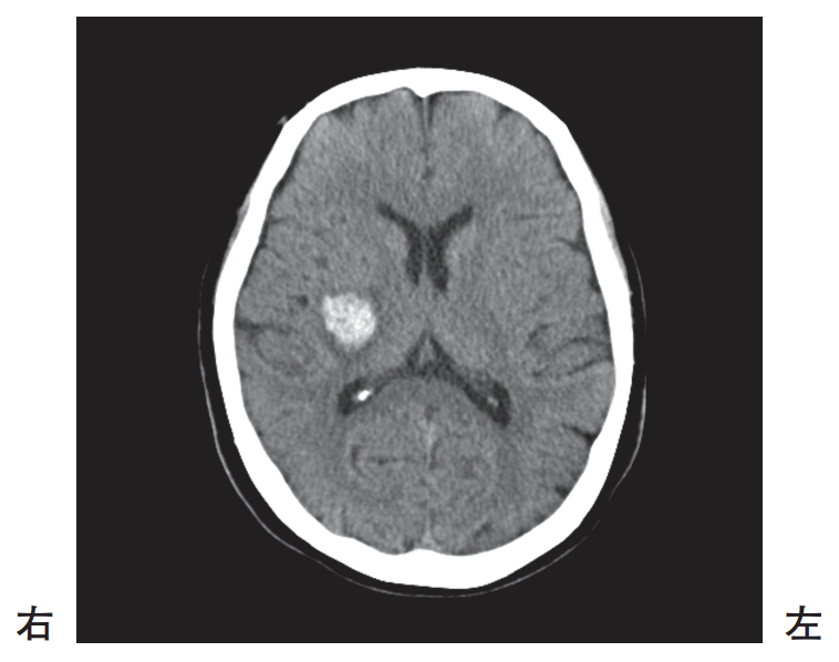
頭部単純CT
18%
※数字(%)は出題頻度
65歳の男性。入浴中、軽度の意識障害および左片麻痺が突然出現したため救急車で搬送された。救急外来到着時の頭部単純CTを別に示す。
考えられるのはどれか。
-
(1)
出題頻度について
- ・出題頻度は出題数÷公開中のテスト数となっています。
- ・出題頻度が50%なら、テストで2回に1回は出題されることになります。
- ・出題頻度が100を超える場合は、テストで1回以上必ず出題されることになります。
