全部で92問 挑戦中
午後
-
エックス線写真
18%
※数字(%)は出題頻度
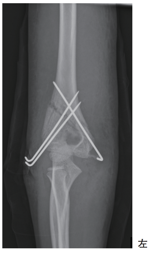
6歳の女児。公園で転倒し、骨折の診断で同日緊急手術を受けた。術後のエックス線写真を別に示す。
術後の患側上肢の理学療法で正しいのはどれか。
-
(1)
出題頻度について
- ・出題頻度は出題数÷公開中のテスト数となっています。
- ・出題頻度が50%なら、テストで2回に1回は出題されることになります。
- ・出題頻度が100を超える場合は、テストで1回以上必ず出題されることになります。
