全部で97問 挑戦中
午後
-
胸部CT
27%
※数字(%)は出題頻度
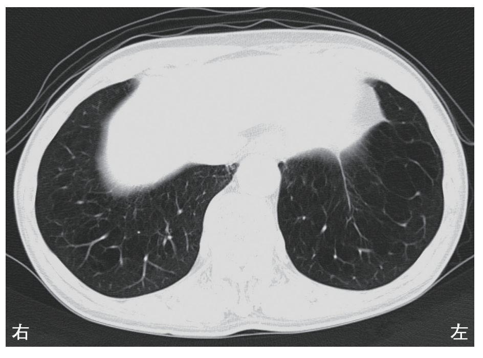
80歳の男性。胸部CTを別に示す。
この患者で低下が予想されるのはどれか。
-
(1)
出題頻度について
- ・出題頻度は出題数÷公開中のテスト数となっています。
- ・出題頻度が50%なら、テストで2回に1回は出題されることになります。
- ・出題頻度が100を超える場合は、テストで1回以上必ず出題されることになります。
