全部で190問 挑戦中
午前
-
手術
9%
※数字(%)は出題頻度
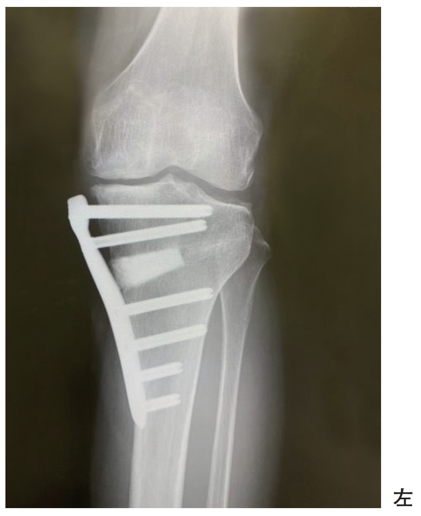
55歳の女性。趣味でジョギングを行っている。変形性膝関節症に対して手術療法が行われた。術後のエックス線写真を別に示す。
術後の理学療法で正しいのはどれか。
-
(1)
出題頻度について
- ・出題頻度は出題数÷公開中のテスト数となっています。
- ・出題頻度が50%なら、テストで2回に1回は出題されることになります。
- ・出題頻度が100を超える場合は、テストで1回以上必ず出題されることになります。
