全部で161問 挑戦中
午前
-
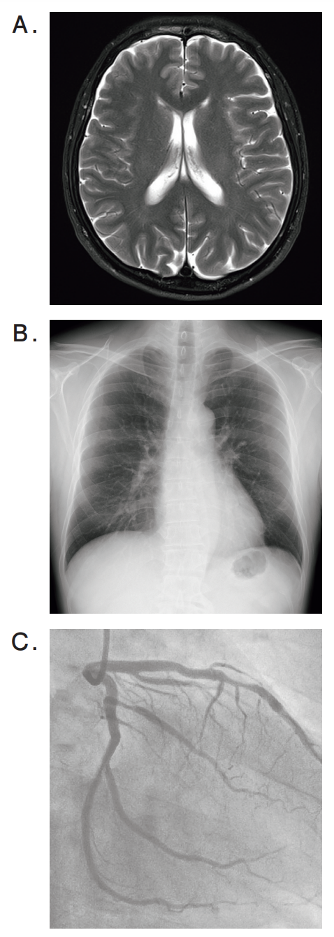
狭心症
40%
※数字(%)は出題頻度
検査の画像を別に示す。
狭心症(angina pectoris)の手術に最も重要な検査はどれか。
-
(1)
出題頻度について
- ・出題頻度は出題数÷公開中のテスト数となっています。
- ・出題頻度が50%なら、テストで2回に1回は出題されることになります。
- ・出題頻度が100を超える場合は、テストで1回以上必ず出題されることになります。
