全部で112問 挑戦中

午前

  • 頭部CT

    18%

※数字(%)は出題頻度

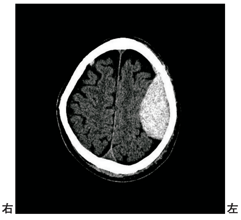
頭部CTを別に示す。

所見として考えられるのはどれか。

  • (1)

    • くも膜下出血

    • 硬膜外血腫

    • 硬膜下血腫

    • 脳動静脈奇形

    • 皮質下出血

出題頻度について
  • ・出題頻度は出題数÷公開中のテスト数となっています。
  • ・出題頻度が50%なら、テストで2回に1回は出題されることになります。
  • ・出題頻度が100を超える場合は、テストで1回以上必ず出題されることになります。