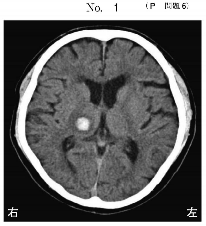
トップ 医療・介護・福祉に関する資格 理学療法士 平成30年度 第53回 過去問(2018年度) 問6 全部で95問 挑戦中 午後 問題 脳出血後の頭部CT(別冊No.1)を別に示す。最も生じゃすい症状はどれか。 (1) 系列的な動作が順番通りにできない。 脳出血発症前のことが思い出せない。 左からの刺激に反応しない。 左手の感覚が脱失する。 人の顔が区別できない。 次の問題へ