全部で125問 挑戦中
午前
問題
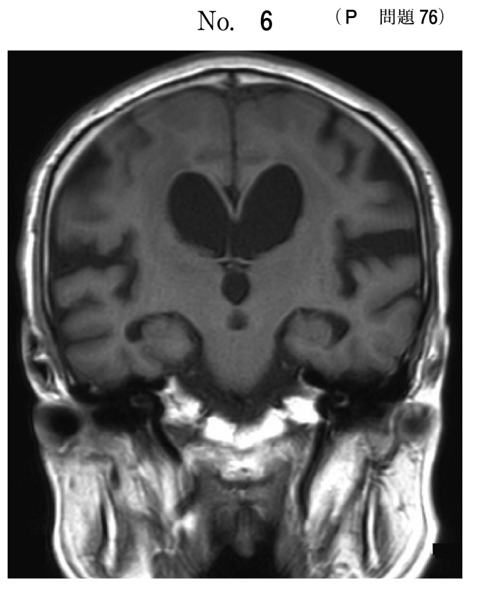
歩行障害がある患者の頭部MRIのT1強調冠状断像(別冊No.6)を別に示す。腰椎穿刺を行い髄液を排出させたところ、歩行障害が改善した。最も考えられるのはどれか。
-
(1)
全部で125問 挑戦中
午前
問題
歩行障害がある患者の頭部MRIのT1強調冠状断像(別冊No.6)を別に示す。腰椎穿刺を行い髄液を排出させたところ、歩行障害が改善した。最も考えられるのはどれか。
(1)