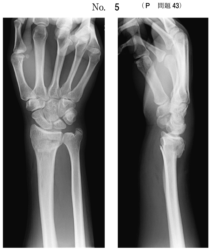
トップ 医療・介護・福祉に関する資格 理学療法士 平成30年度 第53回 過去問(2018年度) 問43 全部で158問 挑戦中 午前 問題 手関節背屈位で手をついて転倒した患者の工ックス線単純写真(別冊No.5)を別に示す。 この病態として正しいのはどれか。 (1) chauffeur’s骨折 Calles骨折 Galeazzi骨折 Monteggia骨折 Smith骨折 次の問題へ