全部で195問 挑戦中
午前
問題
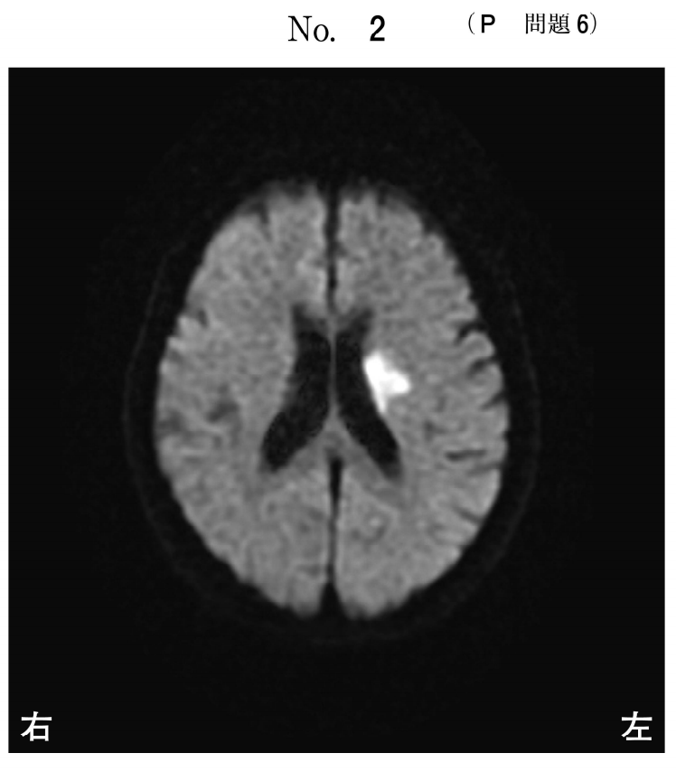
75歳の女性。右利き。脳梗塞を発症し救急車で搬入された。発症翌日に症状の悪化を認めた。発症3日目の頭部MRIの拡散強調像(別冊No.2)を別に示す。
最も出現しやすい症状はどれか。
-
(1)
全部で195問 挑戦中
午前
問題
75歳の女性。右利き。脳梗塞を発症し救急車で搬入された。発症翌日に症状の悪化を認めた。発症3日目の頭部MRIの拡散強調像(別冊No.2)を別に示す。
最も出現しやすい症状はどれか。
(1)